The Department of Luminosity
Teeth Whitening London | From £199 | Home Kit | South Kensington
Professional teeth whitening in South Kensington. Digital custom trays from £199. Zero sensitivity. Visible results in 14 days. Book now.
Luminosity: The Art of Brightening
True radiance comes from within. We utilize digital precision and medical-grade oxygenation to gently lift years of staining, restoring the natural youth of your enamel.
The South Kensington Standard
- Digital Precision: 3D Scans for a micron-perfect fit (No messy moulds).
- Medical Grade: High-potency gels available only via prescription.
- Control: You control the brightness, from subtle lift to high-impact brilliance.
- Stability: Proven to offer longer-lasting results than "1-hour" laser options.
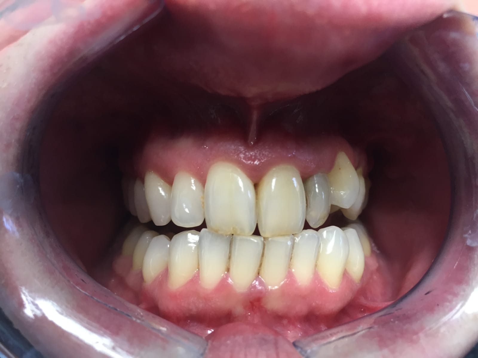
Evidence of Transformation
Witness the dramatic yet natural results achievable through our deep bleaching protocol. These images showcase actual patient transformations—demonstrating the mastery of our whitening system.
Before Treatment
Years of intrinsic staining from coffee and dietary pigments
After 14 Days
Natural luminosity restored through gentle deep-bleaching protocol
Before Treatment
Deep-set discolouration requiring professional intervention
After 14 Days
Remarkable brightening achieved through custom-tray system
The Investment
- Standard Guest Fee: £399.00
- Privilege Member Fee: £199.00 (50% Discount)
INTRODUCTORY RATE: £199.00 (New patients welcome)
The Philosophy: Why "Home" Whitening is Superior
In the cosmetic industry, there is a misconception that "faster is better." You may see clinics advertising "1-hour laser whitening." At the Cosmetic Dentistry Clinic, we consciously choose not to offer laser activation.
Why? Because Slow Luxury yields better results.
Scientific studies consistently show that "power whitening" (using UV lights) often dehydrates the tooth, creating a temporary "chalky" whiteness that fades quickly as the tooth rehydrates. It also carries a higher risk of acute sensitivity ("zings").
We believe in Deep Bleaching. By using custom-fitted trays at home over a period of 10–14 nights, the active oxygen has time to penetrate deep into the dentine tubules. This breaks down stubborn intrinsic stains (like coffee, wine, and tetracycline) gently and permanently. The result is a stable, lustrous white that glows, rather than a flat, dehydrated white that fades.
The Technology: No More "Goo"
If you have had whitening trays made in the past, you likely remember the discomfort of alginate impressions—the metal tray filled with cold, suffocating putty that makes you gag.
Welcome to the Digital Age.
We have eliminated physical impressions entirely. We utilise state-of-the-art Intraoral Scanners.
- The Scan: A slim camera wand glides over your teeth, capturing 6,000 images per second.
- The Comfort: You can breathe, swallow, and pause at any time. There is no mess and no taste.
- The Precision: Digital scans are accurate to the micron. This is critical for whitening.
Why Precision Matters
The success of home whitening depends entirely on the Seal. If oxygen leaks out, it doesn't work. If saliva leaks in, it dilutes the gel.
Our digitally manufactured laboratory trays fit your teeth like a second skin. This "vacuum seal" ensures the gel stays exactly where it needs to be—on your enamel—and away from your gums, preventing irritation.
The Chemistry: How Oxygen Cleans
To understand the value of this treatment, one must understand the chemistry. Teeth are porous, like a sponge. Over years, microscopic pigments from red wine, espresso, berries, and spices become trapped deep inside the crystal structure of the enamel. Brushing only cleans the surface.
Our system uses Carbamide Peroxide.
Application: You place a small droplet of gel into your custom tray.
Activation: As the gel warms to body temperature, it breaks down into water and oxygen.
Permeation: The oxygen molecules penetrate the enamel surface and enter the dentine.
Oxidation: These molecules attack the carbon bonds of the discoloured pigments, shattering them into colourless particles.
The structure of the tooth remains unchanged; only the colour reflects light differently. It is safe, non-abrasive, and biologically sound.
The Process: Your Journey to Brilliance
We have refined the whitening process into two simple visits.
Visit 1: The Digital Scan (20 Minutes)
- • We perform a shade assessment, using a natural light guide to determine your current baseline colour.
- • We check your dental health to ensure you have no open cavities or leaking fillings (whitening requires a sealed environment).
- • We perform the 3D Digital Scan of your upper and lower teeth.
- • The data is sent instantly to our dedicated laboratory.
Visit 2: The Fitting (15 Minutes)
- • You return to collect your bespoke trays and your whitening kit.
- • We check the fit to ensure the seal is perfect.
- • We demonstrate exactly how to apply the gel—showing you how "less is more" to avoid gum irritation.
- • We provide you with desensitising protocols if you have sensitive teeth.
The Home Phase (14 Nights)
- • You wear the trays while you sleep (or for 2–4 hours in the evening if preferred).
- • You will likely notice a difference after the 3rd night.
- • By the 14th night, you will have reached your maximum brightness.
The "White Diet": Protecting Your Investment
During the 2-week active whitening phase, the "pores" of your teeth are open. This makes them susceptible to restaining. We advise patients to follow the "White Diet" for optimal results.
The Rule: If it would stain a white shirt, it will stain your teeth.
Avoid:
Red wine, black coffee, tea, turmeric/curry, soy sauce, tomato sauce, blueberries, beetroot.
Embrace:
White wine, clear spirits, chicken, fish, rice, pasta (white sauce), cauliflower, potatoes, bananas.
Note: You only need to follow this strict diet during the 14 days of treatment. Once the process is complete, the pores close, and you can resume your normal diet.
The Investment: Accessible Pricing
Professional whitening is the single most impactful "entry-level" cosmetic treatment available. It instantly rejuvenates the face.
While our standard fee reflects the high cost of digital scanning and laboratory fabrication, we offer an Introductory Rate to welcome new patients to the clinic.
Fee Structure
| Package Details | Standard Guest Fee | Privilege Member Fee | Introductory Rate |
|---|---|---|---|
| Bespoke Home Whitening Kit | £399.00 | £199.00 | £199.00 |
What is Included in the £199 Package?
- ✓ Clinical Assessment by a GDC-registered dentist.
- ✓ 3D Digital Scan (Upper & Lower Arch).
- ✓ Laboratory-Made Trays (Custom seal).
- ✓ Full Course of Gel (Sufficient for 2–3 weeks).
- ✓ Desensitising Agent (If required).
- ✓ Storage Case.
Fiscal Insight: At £199, this represents a 50% saving on the standard price. It is the perfect opportunity to experience the quality of Cosmetic Dentistry Clinic without a major financial commitment.
Synergistic Treatments: The "Mini Makeover"
Whitening is rarely the end; it is the beginning. Once your teeth are their ideal shade, many patients choose to refine the shape.
The "Align, Bleach & Bond" Protocol
This is our signature non-invasive makeover.
- Align: Use ProAligners to straighten the teeth.
- Bleach: Use this Whitening System to brighten them.
- Bond: Use Composite Bonding to fix chips or jagged edges.
Important: Composite bonding and porcelain veneers do not whiten. Therefore, you must complete your whitening treatment before having any bonding or veneers placed, so we can match the new restorations to your new, brighter shade.
Why South Kensington Chooses Us
1. The "Zero-Sensitivity" Protocol
Sensitivity is the main barrier to whitening. We use gels that contain Potassium Nitrate and Fluoride, which calm the nerve during the process. Our digital trays also prevent the gel from leaking onto the gums, which is the primary cause of pain.
2. The Digital Fit
Old-fashioned putty moulds can distort, leading to loose trays. Loose trays mean uneven whitening. Our digital scans are accurate to the width of a human hair, ensuring the gel is held firmly against the tooth for consistent results.
3. The Ongoing Relationship
Unlike buying a kit online, you are under the care of a dentist. If you experience sensitivity, we adjust the concentration. If you want to go brighter, we can supply "top-up" syringes at your routine check-ups for a nominal fee, allowing you to maintain the result forever using your original trays.
Frequently Asked Questions (FAQ)
Will it look fake?
No. Natural teeth have a limit to how white they can go (the "saturation point"). Home whitening restores your teeth to their natural genetic maximum brightness. It will look like you have incredibly healthy, clean teeth, not "Tippex" white.
How long does it last?
Permanence is relative. The result is permanent, but your lifestyle will continue to stain your teeth over time. Most patients find their smile remains stable for 12–24 months. We recommend a "top-up" (wearing the trays for 1–2 nights) once every 6 months to maintain the peak brightness.
Is it safe for my enamel?
Yes. Extensive research confirms that carbamide peroxide, when used in a custom tray, does not damage or thin the enamel. It is one of the safest procedures in dentistry.
Does it work on crowns or veneers?
No. Whitening gel only affects natural tooth structure. It will not change the colour of existing porcelain crowns, veneers, or white fillings. If you have these on your front teeth, you may need to have them replaced after whitening to match the new shade.
Why is this better than "strip" whitening bought in shops?
Over-the-counter strips are generic shapes. They do not fit into the grooves of your teeth, leading to "stripes" of yellow where the strip didn't touch. They also contain very low concentrations of peroxide (by law). Our system is prescription-strength and custom-moulded for full coverage.
Illuminate Your Confidence
There is no better accessory than a radiant smile. It is the first thing people notice and the last thing they remember.
With our current offer, there has never been a better time to invest in your luminosity.
Book Your Consultation
Step 1: The Booking
Book a "Whitening Consultation" to secure the £199 promotional price.
Step 2: The Scan
Experience the comfort of our digital workflow and begin your journey to a brighter smile.
New patients welcome at this introductory rate
Cosmetic Dentistry Clinic
20 Old Brompton Road, South Kensington, London, SW7 3DL

Expert Insight
"We approach teeth whitening london | from £199 | home kit | south kensington not just as a procedure, but as a pivotal restoration of self. Precision is our baseline; artistry is our signature."
— Dr. Yasha Y Shirazi
The Process
- 01.
Comprehensive Diagnostics & 3D Imaging.
- 02.
Bespoke Treatment Planning & Aesthetic Calibration.
- 03.
Precision Execution & Final Artistry.
Benefits
- Improved Facial Harmony
- Restored Function & Longevity
- Seamless, Natural Aesthetics
Client Voices
"We had an appointment with Dr. Yasha Shirazi, and he was absolutely wonderful... The clinic is new and fully renovated, offering a completely different level of service... far beyond what we typically experience in London."
"By far, the best dental procedure I have received. Clean place, welcoming reception staff. The doctor is nice, straightforward, clear, and concise. Could not ask for more."
"Amazing treatment. Receptionist is welcoming and kind. Jack did my treatment — super amazing. He explained everything in detail. I love my teeth after treatment. Thanks 😊"
"I had the absolute pleasure of being seen by Layla... Layla provided an exceptional hygiene service — thorough, gentle, and attentive to every detail. I left feeling refreshed, confident, and incredibly satisfied."
"Jack is a wonderful hygienist! I suffer from TMJD and usually struggle... but this visit was completely different. He put me at ease right away. For the first time in a long while, the cleaning didn’t hurt much at all."
"We were fortunate enough to be looked after by Jack... His professionalism and friendly manner were exceptional. If you are looking for an amazing, caring hygienist, we absolutely recommend Jack."
"We had an appointment with Dr. Yasha Shirazi, and he was absolutely wonderful... The clinic is new and fully renovated, offering a completely different level of service... far beyond what we typically experience in London."
"By far, the best dental procedure I have received. Clean place, welcoming reception staff. The doctor is nice, straightforward, clear, and concise. Could not ask for more."
"Amazing treatment. Receptionist is welcoming and kind. Jack did my treatment — super amazing. He explained everything in detail. I love my teeth after treatment. Thanks 😊"
"I had the absolute pleasure of being seen by Layla... Layla provided an exceptional hygiene service — thorough, gentle, and attentive to every detail. I left feeling refreshed, confident, and incredibly satisfied."
"Jack is a wonderful hygienist! I suffer from TMJD and usually struggle... but this visit was completely different. He put me at ease right away. For the first time in a long while, the cleaning didn’t hurt much at all."
"We were fortunate enough to be looked after by Jack... His professionalism and friendly manner were exceptional. If you are looking for an amazing, caring hygienist, we absolutely recommend Jack."
"We had an appointment with Dr. Yasha Shirazi, and he was absolutely wonderful... The clinic is new and fully renovated, offering a completely different level of service... far beyond what we typically experience in London."
"By far, the best dental procedure I have received. Clean place, welcoming reception staff. The doctor is nice, straightforward, clear, and concise. Could not ask for more."
"Amazing treatment. Receptionist is welcoming and kind. Jack did my treatment — super amazing. He explained everything in detail. I love my teeth after treatment. Thanks 😊"
"I had the absolute pleasure of being seen by Layla... Layla provided an exceptional hygiene service — thorough, gentle, and attentive to every detail. I left feeling refreshed, confident, and incredibly satisfied."
"Jack is a wonderful hygienist! I suffer from TMJD and usually struggle... but this visit was completely different. He put me at ease right away. For the first time in a long while, the cleaning didn’t hurt much at all."
"We were fortunate enough to be looked after by Jack... His professionalism and friendly manner were exceptional. If you are looking for an amazing, caring hygienist, we absolutely recommend Jack."
Individual results may vary. These reviews represent patient experiences and are not guarantees of treatment outcomes.
Location
Cosmetic Dentistry Clinic20 Old Brompton Road
South Kensington
London, SW7 3DL
Located 2 minutes walk from South Kensington Station.
Opening Hours
- Mon - Wed09:00 - 18:00
- Thu09:00 - 20:00
- Fri09:00 - 17:00
- Sat10:00 - 16:00
- Sun10:00 - 16:00
Uncompromising Standards
True artistry requires a foundation of absolute safety. Our practice operates under the strictest clinical governance, ensuring that your journey is as safe as it is transformative. We are fully regulated, transparent, and dedicated to the highest tenets of medical ethics.
Begin Your Journey
Private consultations available in South Kensington. Join our membership for exclusive courtesies.

